Ya está disponible online la Revista Argentina de Reumatología Nº 2 2025 con cuatro artículos originales y un reporte de caso clínico
Lugones Editorial©
Ya está disponible el Nº 2 de la Revista Argentina de Reumatología, publicación de la Sociedad Argentina de Reumatología, y a continuación se presenta un breve resumen de cada uno de sus artículos.
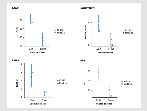
ARTÍCULO ORIGINAL. Valoración de la calidad del sueño en pacientes con artritis reumatoide, espondiloartritis y lupus eritematoso sistémico: estudio del noreste argentino
Ringer A y col.
Estudios epidemiológicos demostraron que las alteraciones del sueño han aumentado en las últimas décadas. Además del distrés psicosocial, se sabe que determinadas patologías, así como el uso de diversos fármacos y el incremento de la edad de las personas, son factores que influyen en la calidad del sueño.
Dado que las patologías autoinmunes y sus tratamientos pueden relacionarse con la calidad del sueño, los autores evaluaron la calidad del sueño en pacientes con artritis reumatoide (AR), espondiloartritis (SpA)y lupus eritematoso sistémico (LES) a través del cuestionario de Pittsburgh de calidad del sueño (PSQI) en las provincias del noreste argentino.
Para ello realizaron un estudio multicéntrico (filial ARNEA), transversal, analítico y descriptivo. Incluyeron pacientes con AR, SpA y LES, y evaluaron la calidad del sueño mediante PSQI.
Los autores concluyeron que la mala calidad del sueño fue altamente prevalente en pacientes con patologías autoinmunes, especialmente en aquellos con mayor actividad inflamatoria, y destacan la importancia de incorporar la evaluación del sueño en la práctica clínica habitual.

Scores de actividad y secuela
ARTÍCULO ORIGINAL. Desarrollo de esclerosis sistémica en pacientes con síndrome de Sjögren primario y fenómeno de Raynaud
Martínez Perdomo A y col.
El síndrome de Sjögren (SS) es una enfermedad crónica, autoinmune, de afectación glandular y extraglandular, que afecta principalmente a mujeres entre los 40 y 50 años de edad, caracterizada por sequedad de las mucosas, principalmente oral y ocular.
Una manifestación extraglandular de prevalencia variable, pero frecuente del Sjögren primario (SSp) es el fenómeno de Raynaud (FR), el cual es una constante de la esclerosis sistémica (ES).
Los autores del presente trabajo se plantearon evaluar la presencia del FR en pacientes con SSp, describir las características clínicas e inmunológicas, y determinar el desarrollo de ES en los pacientes con SSp y FR.
Para ello incluyeron pacientes con SSp y registraron aquellos que presentaron FR durante el seguimiento. La esclerosis sistémica muy temprana (ESMT) se definió como FR asociado con autoanticuerpos marcadores de ES y/o patrón esclerodermiforme (SDP) en capilaroscopia.
Los autores encontraron una frecuencia de FR en pacientes con SSp similar a la descripta en diversas series. Más del 50% de los pacientes con FR y SSp de esta cohorte cumplió criterios para ESMT, evolucionando a ES 5 de ellos con una mediana de seguimiento de 62 meses siendo ACA positivos.

Hallazgos por capilaroscopia (%) en pacientes con síndrome de Sjögren primario y fenómeno de Raynaud (n=32).
ARTÍCULO ORIGINAL. Tasa de retención de metotrexato en pacientes con artritis reumatoide y artritis psoriásica
Collere Melara A y col.
El metotrexato (MTX) es una terapia de primera línea para la artritis reumatoide (AR) y la artritis psoriásica (APs). Se valora por su eficacia, bajo costo y facilidad de administración; sin embargo, los efectos adversos suelen llevar a la interrupción del tratamiento.
El objetivo de este trabajo fue determinar las causas de suspensión del MTX en pacientes con AR y APs.
Para ello, los autores realizaron un estudio retrospectivo que incluyó 148 pacientes (AR=102, APs=46) que recibieron MTX durante al menos un mes antes de su suspensión.
Los autores concluyeron que la intolerancia gástrica fue la principal causa de suspensión del MTX, especialmente en pacientes con AR. Además, la toxicidad hepática fue más frecuente en la APs. Aunque el uso de MTX fue más prolongado en la AR, los datos epidemiológicos y antropométricos no se asociaron con la suspensión del fármaco.

Supervivencia del tratamiento con metotrexato según las variables estudiadas
ARTÍCULO ORIGINAL. Trombosis inducida por vacunas contra la COVID-19 y adherencia de los reumatólogos argentinos a las guías de recomendación de vacunación vigentes
Isnardi CA y col.
Se han informado eventos trombóticos asociados con trombocitopenia posterior a la vacunación contra el SARS-CoV-2.
Ante este contexto, los autores se propusieron reconocer y caracterizar eventos trombóticos en pacientes con enfermedades reumáticas inmunomediadas vacunados contra la COVID-19, y evaluar la indicación de vacunas y la adherencia a las guías locales por parte de los reumatólogos.
Para ello, llevaron a cabo un estudio transversal y observacional basado en encuestas a reumatólogos miembros de la Sociedad Argentina de Reumatología, recolectando datos sobre eventos trombóticos y práctica de vacunación entre mayo y julio de 2024.
Los autores detectaron tres casos de trombosis relacionados con las vacunas contra la COVID-19, una de ellas clasificada como VITT. Los eventos ocurrieron con vacunas de plataforma viral, pero también con ARNm e inactivas. Aunque la mayoría de los reumatólogos prescribe vacunas, existen brechas en el conocimiento y solo el 70% adhiere a las guías. Esto destaca la necesidad de educación para optimizar la seguridad y eficacia de la vacunación en esta población.
CASOS CLÍNICOS. Trombosis aórtica en una mujer con arteritis de Takayasu, ¿manifestación inusual o compromiso paraneoplásico? Reporte de caso
Arango A y col.
La arteritis de Takayasu es una vasculitis de grandes vasos que afecta la aorta y sus principales ramas, caracterizada por síntomas sistémicos inespecíficos y anomalías vasculares, principalmente estenosis o enfermedad aneurismática. La arteritis de Takayasu carece de una asociación clara con eventos trombóticos.
El vínculo poco frecuente entre cáncer y vasculitis destaca la necesidad de una evaluación exhaustiva de los trastornos procoagulantes en pacientes con arteritis de Takayasu y trombosis.
En este artículo, los autores un caso único de trombosis como manifestación inicial de arteritis de Takayasu.

Tomografía de tórax. La flecha verde indica la presencia de una lesión con densidad de tejido blando ubicada en el cuadrante inferolateral de la mama derecha, de aproximadamente 15 mm de tamaño.
Acceda aquí al número completo de la Revista Argentina de Reumatología Nº 2 2025









